Genetic Basis of 18p-
As you may already know, 18p- occurs when there is a deletion on the short arm of chromosome 18. You may also be wondering what, precisely, this means.
On this page, we will discuss some basic genetic concepts. However, we also recommend that families meet with a genetics professional, such as a geneticist or a genetic counselor, to talk about the genetic basis of 18p-. A genetics professional will also review the specific genetic change that was identified in the family.
For a more in-depth discussion about genetic concepts, we invite you to review a series of podcasts designed and narrated by Dr. Jannine Cody, Director of the Chromosome 18 Clinical Research Center.
You have probably heard the word “gene” or “genetic” before, but what is a gene, and how does it relate to health? Put simply, a gene is an instruction. A gene tells our body how to make a certain protein. Those proteins, in turn, have many different functions throughout our bodies. Our genes determine many physical features, such as skin, hair, and eye color. Genes also give instructions for proteins that are not so obvious to the naked eye. For example, genes play a role in fetal development, telling the cells and tissues how to form different organs. Genes also continue to play a role after birth, coding for proteins that are involved in day-to-day functions, such as the metabolism of food. When a gene is changed or is missing, it may affect the protein it is supposed to make, which may, in turn, lead to physical differences or medical and developmental concerns.
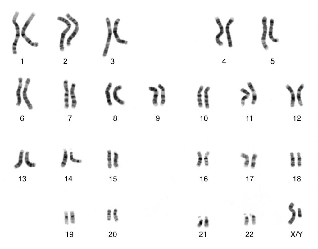
Genes are located on the chromosomes, similar to the way that beads may be strung along a necklace. The chromosomes are located in nearly every cell of the body. Each of these cells carries 23 pairs of chromosomes, for a total of 46 chromosomes. We inherit one set of 23 chromosomes from each parent. This means we have two copies of each chromosome, one from our biological mother and one from our biological father. Because the genes are located on the chromosomes, we typically also have two copies of nearly all of our genes.

Chromosomes are not visible to the naked eye. However, it is possible to view the chromosomes under a microscope. You can see that each chromosome is unique in its size as well as the striped pattern (known as banding). These differences are noticeable to a trained eye.
In addition to the characteristic banding pattern, chromosomes have different locations of the centromere. The centromere is a tiny constriction somewhere along the length of the chromosome. This constriction divides the chromosome into two different segments. These segments are called arms. The shorter arm (called “p” for petit) is always shown on top. The longer arm is called the “q” arm and is shown below the p arm.
18p- occurs when there is a missing piece, known as a deletion, on the p arm of chromosome 18. Because the genes are located on the chromosomes, the genes that are located within the deletion are also missing. In other words, a deletion means that only one copy of the gene is present rather than two. This is what leads to the health and developmental concerns associated with 18p-.
