Genetic Basis of Ring 18
As you may already know, ring 18 occurs when one of the copies of chromosome 18 forms a ring. This may lead to deletions on both ends of the chromosome. You may be wondering what, precisely, this means.
On this page, we will discuss some basic genetic concepts. However, we also recommend that families meet with a genetics professional, such as a geneticist or a genetic counselor, to talk about the genetic basis of ring 18. A genetics professional will also review the specific genetic change that was identified in the family.
For a more in-depth discussion about genetic concepts, we invite you to review a series of podcasts designed and narrated by Dr. Jannine Cody, Director of the Chromosome 18 Clinical Research Center.
Genes and Chromosomes:
You have probably heard the word “gene” or “genetic” before, but what is a gene, and how does it relate to health? Put simply, a gene is an instruction. A gene tells our body how to make a certain protein. Those proteins, in turn, have many different functions throughout our bodies. Our genes determine many physical features, such as skin, hair, and eye color. Genes also give instructions for proteins that are not so obvious to the naked eye. For example, genes play a role in fetal development, telling the cells and tissues how to form different organs. Genes also continue to play a role after birth, coding for proteins that are involved in day-to-day functions, such as the metabolism of food. When a gene is changed or is missing, it may affect the protein it is supposed to make, which may, in turn, lead to physical differences or medical and developmental concerns. Genes are located on the chromosomes, similar to the way that beads may be strung along a necklace.
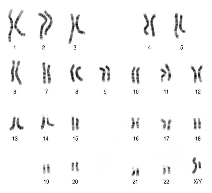
The chromosomes are located in nearly every cell of the body. Each of these cells carries 23 pairs of chromosomes, for a total of 46 chromosomes. We inherit one set of 23 chromosomes from each parent. This means we have two copies of each chromosome, one from our biological mother and one from our biological father. Because the genes are located on the chromosomes, we typically also have two copies of nearly all of our genes.
Chromosomes are not visible to the naked eye. However, it is possible to view the chromosomes under a microscope. You can see that each chromosome is unique in its size as well as the striped pattern (known as banding). These differences are noticeable to a trained eye.

In addition to the characteristic banding pattern, chromosomes have different locations of the centromere. The centromere is a tiny constriction somewhere along the length of the chromosome. This constriction divides the chromosome into two different segments. These segments are called arms. The shorter arm (called “p” for petit) is always shown on top. The longer arm is called the “q” arm and is shown below the p arm.
Ring 18 occurs when one of the two copies of chromosome 18 has formed a ring, rather than the rod shape that you see in the picture above. In most cases of ring 18, both ends of the chromosome have missing pieces, caused when the two ends joined to form the ring.

Because the genes are located on the chromosomes, the genes that are located within the missing region of the chromosome are also missing. In other words, missing pieces of chromosome 18 means that only one copy of the genes are present rather than two. This is what leads to health and developmental concerns associated with ring 18.
Mosaicism:
It is not uncommon for people with ring 18 to have mosaicism. The term “mosaicism” describes a situation in which different cells in the same individual have different numbers or arrangements
of chromosomes. It is called “mosaicism” because, in a way, the cells of the body are similar to the tiles of a mosaic. In a mosaic piece of art, each tile is different. They have different shapes and colors. The tiles are fitted together to make a whole picture.

If a person has mosaicism, their cells are like the tiles of this mosaic. Taken together, the different tiles of the mosaic form the whole picture, similar to the way the cells form the whole body. Just as the tiles of a mosaic have different shapes and colors, the cells of the body have different numbers or arrangements of chromosomes. For example, if an individual has mosaic ring 18, this means that some of the cells have the ring while other cells may have the expected chromosome arrangement or a different type of chromosome change.